ⓘ We are always looking for new vet and nursing talent

ⓘ We are always looking for new vet and nursing talent

Click here for available roles Click here
 
 
 
 
 

Bone Cancer in Dogs - Case Study

 
 
 

Background

Kimba, Treatment a little 13-year-old male neutered Bichon Frise, was presented to the VRH with a history of restlessness and had been yelping in pain for four days. On examination, Kimba was diagnosed with marked lumbar (back) pain and mild ataxia of his back legs (wobbliness) with proprioceptive deficits: these symptoms usually indicate a disorder of the spine, such as a disc hernia, fibrocartilaginous embolism, or cancer.

 
bone cancer case study
 

A blood test showed that Kimba had an increased blood calcium level. There can be several causes of this result, including some cancers or diseases that damage the bones, as well as disorders of the kidneys or parathyroid glands.

 

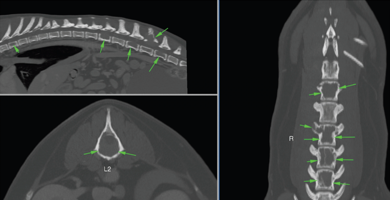
Our diagnostic imaging team performed a CT s scan of Kimba’s spine under anaesthesia (see pictures below) which showed multiple aggressive osteolytic lesions (bone destruction) affecting the lumbar and thoracic vertebrae in the spine, with associated soft tissue mass lesions. These results indicated that cancer was the most likely cause of Kimba’s high blood calcium. Consequently, the cancer was destroying the bones, causing pain, and pressing on the spine, causing wobbliness: there was moderate to marked compression of the spinal cord.

 

Aspirate samples were taken using small needles from one of the affected vertebrae under the same anaesthesia (aspirates from the lytic L5 vertebral dorsal spinous process). The samples confirmed a cancer called multiple myeloma. Multiple myeloma is a cancer of the plasma cells, which are part of the immune system. The cancer usually affects and destroys bones, causing severe pain and sometimes secondary fractures. Cancer also often causes an increase in the blood calcium, such as in Kimba’s case, and high levels of globulin, a type of protein in the blood and urine.

 

Kimba, a little 13-year-old male neutered Bichon Frise, was presented to the VRH with a history of restlessness and had been yelping in pain for four days. On examination, Kimba was diagnosed with marked lumbar (back) pain and mild ataxia of his back legs (wobbliness) with proprioceptive deficits: these symptoms usually indicate a disorder of the spine, such as a disc hernia, fibrocartilaginous embolism, or cancer.

 

A blood test showed that Kimba had an increased blood calcium level. There can be several causes of this result, including some cancers or diseases that damage the bones, as well as disorders of the kidneys or parathyroid glands.

 

Kimba did not have high globulin, so his multiple myeloma was labelled non-secretory, which is an uncommon version of the disease. Side effects of cancer can also include excessive bleeding, kidney failure, an abnormal brain function with dementia, confusion or seizures, and a depressed immune system, placing affected dogs at risk of infection.

 

While multiple myeloma cannot be cured, it is cancer that often responds very well to treatment with anti-cancer drugs (chemotherapy). While in humans, chemotherapy is often given in large doses that cause sickness, in dogs our approach is different. We use smaller doses, and many of our chemotherapy dog patients have no side effects and a good quality of life. Without treatment, dogs with multiple myeloma remain in severe pain and are usually euthanised or die within six weeks. With the right treatment, 92% of dogs improve and the additional life expectancy is 1.5 to 2.5 years.

 
 

Diagnostic

 
 
bone cancer case study

Figure 1: Sagittal, transverse and dorsal MPR MIP images showing polyostotic osteolytic vertebral lesions (arrows)

 
 
bone cancer case study

Figure 2A: Sagittal, transverse and dorsal MPR MIP images showing contrast-enhancing soft-tissue masses at the sites of the osteolysis. At L2, the contrast-enhancing soft tissue mass (green arrows) caused compression of the spinal cord (red arrows).

 
 
bone cancer case study

Figure 2B: Sagittal, transverse and dorsal MPR MIP images showing contrast-enhancing soft tissue masses at the sites of the osteolysis, At L5 the contrast-enhancing soft tissue mass (green arrows) caused compressions of the nerve roots (red arrows).

 
 
 

Treatment

Kimba commenced chemotherapy with a drug called melphalan, which is taken in tablets. In his case, the tablets are given once a day for 5 days, and this is repeated every three weeks. A vet check and a blood test are recommended every three weeks before each treatment period, to make sure that there are no side effects of the treatment on the blood cells and no signs of cancer relapse. At the beginning of treatment, Kimba also received prednisolone, another drug with anti-cancer effects, and strong opioid painkillers for his bone pain (a fentanyl patch was placed on one of his legs). We also gave Kimba a single intravenous infusion of the drug pamidronate, which helps reduce bone resorption and reduces bone pain for up to 4 weeks.

 

Kimba responded rapidly to the treatment. One week after the start of treatment, he was back to normal at home, with no wobbliness or signs of pain and has remained well since then. As at the time of writing Kimba has remained in remission for two years and eight months after his cancer was first diagnosed at VRH and is now 17 years old. He remains happy and pain-free on his regular melphalan treatment with no visible side effects.

 

Both Kimba’s family, his primary vet and the VRH Dandenong team are very pleased with the results of our treatment and we hope that Kimba continues to do well! Thanks to a specialist veterinary approach combining advanced imaging with internal animal medicine, we are able to offer the highest standard of care for your loved pet.

 

Our critical care team accepts internal and external referrals.

 
 

Looking for additional information into common pet illnesses and diagnoses?

 
 
 

You might also be interested in

Discover All Articles
Chest Tumors in Dogs | Symptoms & Treatment

Chest Tumors in Dogs | Symptoms & Treatment

17 Mar 2026 | educational-hub

Learn about chest tumors in dogs including symptoms, diagnosis and treatment options from qualified Vets.

Immune Mediated Hemolytic Anemia (IMHA) in Dogs & Cats

Immune Mediated Hemolytic Anemia (IMHA) in Dogs & Cats

17 Mar 2026 | educational-hub

Learn about Immune Mediated Hemolytic Anemia (IMHA) in dogs & cats, diagnosis, symptoms and IMHA dog and cat treatment from qualified Vets.

Leukaemia In Dogs

Leukaemia In Dogs

17 Mar 2026 | educational-hub

Learn about Leukaemia in Dogs, discovering canine Leukaemia symptoms, and treatment options from the expert Veterinarians at AREN.

Pet Emergency? We're here when you need it most.

Open after hours, including public holidays