ⓘ We are always looking for new vet and nursing talent

ⓘ We are always looking for new vet and nursing talent

Click here for available roles Click here
 
 
 
 
 

Arthritis in dogs

 

A common and painful disease, arthritis is a condition that affects many dogs, particularly as they get older. Here’s what you need to know about the causes, symptoms and treatment options available to help your dog live a comfortable and active life.

 
arthritis in dogs
 
 

What is arthritis in dogs?

Also known as osteoarthritis or degenerative joint disease, arthritis is a condition that causes inflammation and deterioration of the joints. It tends to affect older dogs, but younger dogs can also develop arthritis, especially if they have had joint injuries in the past, have congenital joint conditions (like hip or elbow dysplasia or patella luxation) or are predisposed to the condition because of their breed.

 
 

What causes arthritis in dogs?

Several factors can contribute to the development of arthritis in dogs. As dogs age, the cartilage in their joints naturally wears down, which can lead to arthritis. Certain dogs have conformational issues that predispose them to developing arthritis. Certain breeds are over represented, such as; Labrador retrievers, German shepherds, golden retrievers and Great Danes. 

 

Other factors can play a big part. Excess weight puts additional stress on a dog’s joints, which can speed up cartilage degeneration. Trauma to the joints, such as fractures or ligament tears, can also lead to the early onset of arthritis.

 
 

Symptoms of arthritis in dogs

Spotting the symptoms of arthritis in your dog can be helpful for early diagnosis and ongoing management. Common signs include:

  • Stiffness: Particularly noticeable after rest or in cold weather.
  • Limping: Your dog might favour one or more limbs.
  • Reluctance to move: Hesitance to jump, climb stairs or be physically active.
  • Pain: Signs of discomfort when touched or handled.
  • Changes in behaviour: Irritability, lethargy or changes in appetite.
  • Difficulty getting up: Especially after lying down for a period of time.

If you spot any of these symptoms in your dog, speak to your local vet for a full-body examination.

     
    arthritis in dogs
     
     

    Diagnosing arthritis in dogs

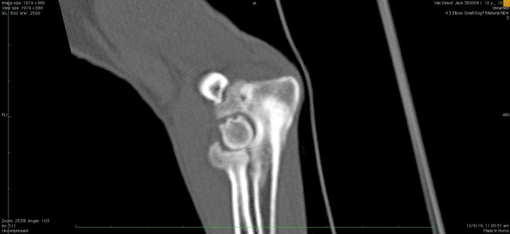
    Veterinarians can diagnose arthritis through a combination of physical examinations, observations and diagnostic imaging. X-rays let them assess joint damage and rule out any other potential causes of the symptoms.In some cases, advanced imaging techniques like MRIs or CT scans might be necessary to get a more detailed view of the joints.

     

    Dog arthritis treatment

    Managing arthritis in dogs can include lifestyle changes, medications, and supplements. Here’s a closer look at some common treatment options:

     

    Exercise

    Regular, low-impact exercise can help maintain joint flexibility and muscle strength in dogs living with arthritis. Swimming and controlled leash walks can help keep your dog active without placing too much strain on their joints. Be sure to avoid high-intensity activities, like running or jumping, which can exacerbate joint pain.

     

    Drugs

    Non-steroidal anti-inflammatory drugs (NSAIDs) are prescribed to reduce inflammation and alleviate pain. Meloxicam, carprofen and firocoxib are medications that can help improve your dog’s mobility and comfort. Additional medications can be used for arthritis including gabapentin and amantadine.

    Monoclonal antibodies, such as Beransa, are also used to manage pain due to arthritis in dogs. This medication targets pain at the pain receptors and has a high safety profile, making it a great option for older patients.

     

    Oral supplements

    Supplements like glucosamine, chondroitin sulphate and omega-3 fatty acids may be recommended by your vet to support your dog’s joint health and reduce inflammation. While evidence of their effectiveness varies, many pet owners report improvements in their dog’s condition after regular use.

     

    Injectable supplements

    Pentosan polysulphate (PPS) is an injectable medication that protects joint cartilage and reduces inflammation. It’s often used in tandem with other treatments to manage arthritis symptoms over the long term.

     
    arthritis in dogs

    2D CT scan showing severely arthritic elbow

     
     

    Weight control

    Excess weight puts additional stress on already compromised joints and also increases inflammation within the joints. So, putting your dog on a well-balanced diet and feeding them controlled portion sizes, combined with regular low impact exercise, can help them maintain a healthy weight. Your vet might recommend a prescription diet designed for weight management in arthritic dogs.

     

    How to help a dog with arthritis at home

    Here are a few ways you can make life easier and more comfortable for your dog at home:

    • Soft bedding: A supportive, orthopaedic bed can reduce pressure on your dog’s joints while they sleep.
    • Use ramps or steps: These can help your dog climb onto furniture or into your car without jumping.
    • Keep them warm: Chilly winters and harsh weather can worsen arthritis symptoms, so make sure your dog can stay warm.
    • Gentle massage: Massaging your dog’s muscles around the affected joints can help reduce stiffness and improve circulation. Sometimes range of motion and other specific exercises are recommended to help maintain good muscle condition around affected joints to help support arthritic joints.
       

      Arthritis cure for dogs

      While there’s no cure for arthritis in dogs, the condition can be well managed with the right combination of treatments and lifestyle adjustments. With proper care, many dogs with arthritis can continue to lead active and fulfilling lives.

       

      Regular veterinary check-ups are essential to monitor the progression of the disease and adjust the treatment plan as needed. If you are concerned about your dog's symptoms, find your closest vet emergency hospital.

      Looking for additional information info on common pet illnesses and diagnoses? 

      For referring vets, please use our online referral form to submit a case enquiry.

       
       
       
       

      You might also be interested in

      Discover All Articles
      Auto-Immune Disease in Pets | Diagnosis & Treatment

      Auto-Immune Disease in Pets | Diagnosis & Treatment

      17 Mar 2026 | educational-hub

      Bone Cancer In Dogs | Canine Osteosarcoma - AREN

      Bone Cancer In Dogs | Canine Osteosarcoma - AREN

      17 Mar 2026 | educational-hub

      Learn the causes, signs, and treatments for bone cancer in dogs, including early detection tips and care options to improve your pet's quality of life.

      Cataracts In Dogs | Causes, Symptoms & Treatment

      Cataracts In Dogs | Causes, Symptoms & Treatment

      17 Mar 2026 | educational-hub

      Discover everything you need to know about cataracts in dogs. Learn about causes, symptoms, and effective treatments to safeguard your dog's eye health.

      Pet Emergency? We're here when you need it most.

      Open after hours, including public holidays